L’usura anomala dei denti è un problema comune che può compromettere sia l’estetica che la funzionalità del sorriso. L’usura eccessiva dei denti può essere causata da diversi fattori, tra cui bruxismo, masticazione scorretta, abitudini orali dannose o problemi di malocclusione. Fortunatamente, le faccette dentali offrono una soluzione efficace per ripristinare i denti usurati, migliorando l’estetica del sorriso e ripristinando la funzionalità masticatoria.
Usura anomala dei denti: Le cause
Bruxismo: Il bruxismo è una condizione in cui si stringono o si sfregano i denti in modo involontario eccessivamente. Questa abitudine dannosa può causare un’usura accelerata dei denti.
Masticazione scorretta: Una masticazione scorretta, ad esempio, concentrando troppo la pressione su alcuni denti, può portare a un’usura disomogenea.
Abitudini orali dannose: L’uso frequente di oggetti come penne o unghie da mordere o masticare può causare usura eccessiva dei denti.
Usura anomala dei denti: Le conseguenze
Cambiamento dell’estetica del sorriso: L’usura può provocare un accorciamento dei denti, rendendoli meno visibili quando si sorride. Ciò può influire negativamente sull’estetica del sorriso.
Sensibilità dentale: L’usura può causare l’esposizione delle strutture interne dei denti, aumentando la sensibilità al caldo, al freddo e ai cibi dolci.
Problemi di occlusione: L’usura anomala dei denti può influenzare l’occlusione, cioè il modo in cui i denti superiori e inferiori si incontrano durante la chiusura della bocca. Ciò può causare problemi di malocclusione e disturbi dell’articolazione temporomandibolare (ATM).
Faccette Dentali: Una soluzione efficace
Le faccette dentali offrono una soluzione efficace per ripristinare i denti usurati e migliorare l’estetica del sorriso. Ecco come le faccette dentali possono aiutare:
Protezione dei denti: Le faccette dentali coprono la superficie esterna dei denti, proteggendoli dall’usura ulteriore e dagli agenti esterni dannosi.
Ripristino dell’estetica del sorriso: Le faccette dentali possono essere realizzate su misura per migliorare l’estetica del sorriso. Possono correggere l’accorciamento dei denti e ripristinare la lunghezza e la forma originale dei denti, migliorando l’aspetto estetico del sorriso.
Miglioramento della funzionalità masticatoria: Le faccette dentali possono ripristinare l’adesione e la funzionalità masticatoria dei denti usurati. Questo permette al paziente di masticare in modo efficace e ridurre lo stress sui denti restanti.


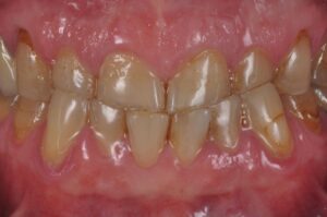
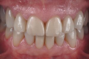
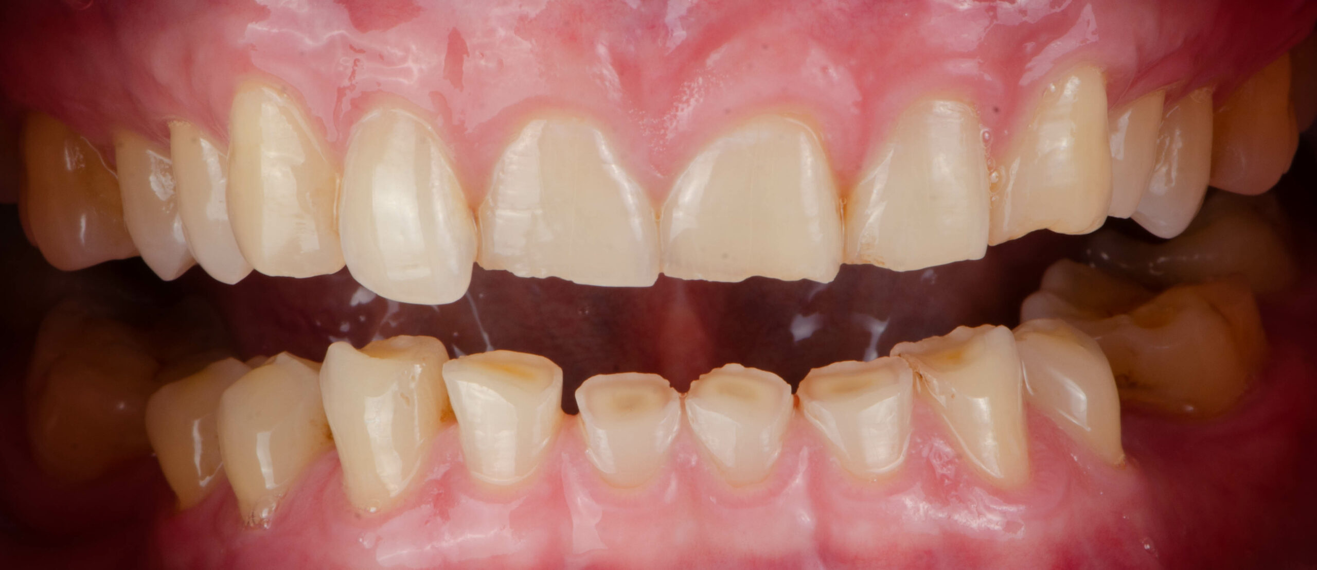
Denti usurati trattati con le faccette dentali
Consulta la nostra galleria di casi trattati con faccette dentali
L’usura anomala dei denti può influire negativamente sull’estetica e sulla funzionalità del sorriso. Fortunatamente, le faccette dentali offrono una soluzione efficace per ripristinare i denti usurati.
Grazie alle faccette dentali, è possibile proteggere i denti dall’usura ulteriore, ripristinare l’estetica del sorriso, migliorare la funzionalità masticatoria e personalizzare il colore e la forma dei denti. Puoi consultare la nostra galleria di casi cliccando qui, e osservare il ripristino di denti usurati attraverso faccette dentali.
Se stai affrontando problemi di usura anomala dei denti, consulta un dentista ADC per valutare se le faccette dentali possono essere una soluzione adatta al tuo caso specifico.
Domande Utili
Cosa causa i denti usurati e i denti abrasi?
I denti usurati e i denti abrasi sono spesso causati da bruxismo, masticazione scorretta, abitudini orali dannose (come mordere penne o unghie) o problemi di malocclusione. Questa usura dentale può provocare accorciamento dei denti, sensibilità e alterazioni dell’occlusione.
Quali sono le conseguenze dell’usura dentale?
L’usura dei denti può ridurre l’estetica del sorriso, aumentare la sensibilità a caldo e freddo e interferire con il modo in cui i denti si incontrano. Nei casi avanzati può anche causare disturbi dell’ATM.
Come si possono ripristinare i denti usurati o abrasi?
Le faccette dentali sono una soluzione efficace per denti usurati o denti abrasi: proteggono le superfici dentali, ripristinano la forma e la lunghezza dei denti e migliorano sia l’estetica sia la funzionalità masticatoria, limitando l’usura dentale futura.