Le faccette dentali sono progettate per regalarti un sorriso completamente naturale, enfatizzando al contempo i lineamenti del viso. Scopri come le faccette dentali possono trasformare il tuo sorriso e restituirti fiducia.
Faccette Dentali: Cosa sono?
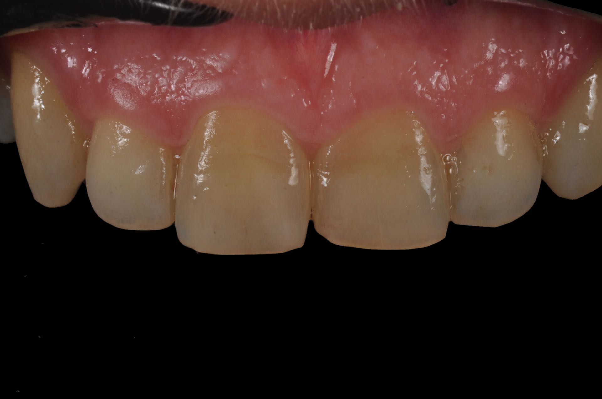
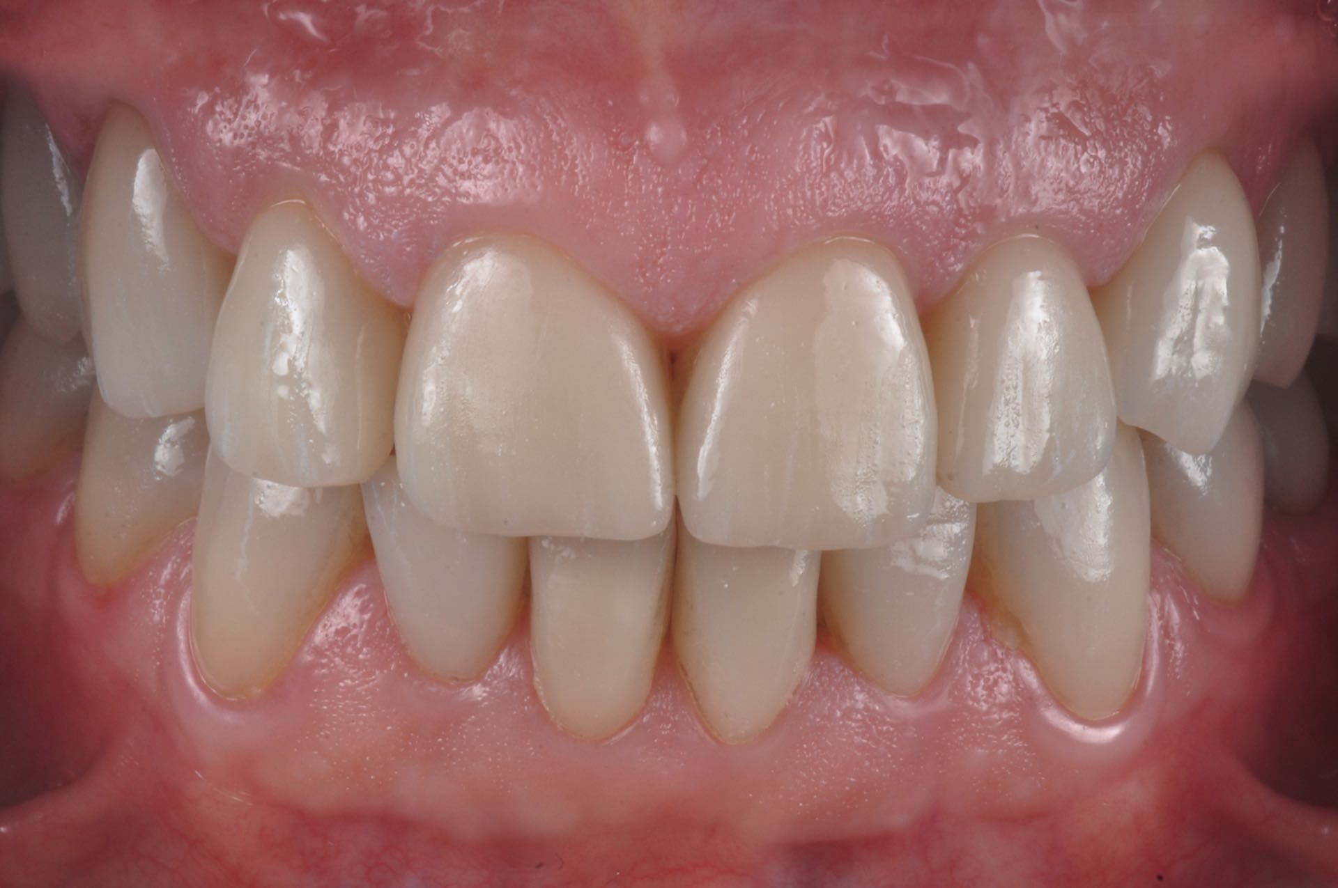
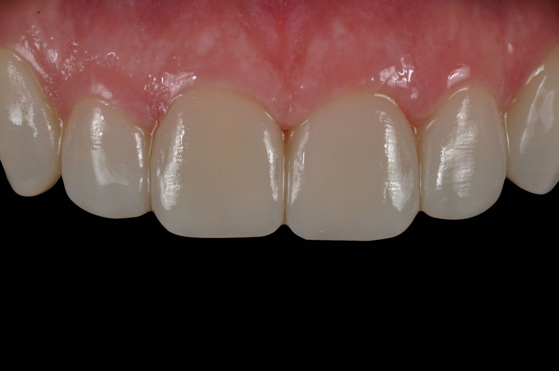
Le faccette dentali, chiamate anche faccette estetiche, sono sottili lamine in ceramica traslucida di circa 0,3 mm che vengono applicate sulla superfice esterna del dente andandone a celare i difetti cromatici ed imperfezioni di forma o di posizione.
Quando servono
le Faccette Dentali?
Oltre al raggiungimento di un risultato estetico invidiabile, andando a sbiancare e lucidare i denti, l’applicazione delle faccette estetiche viene consigliata nei seguenti casi:
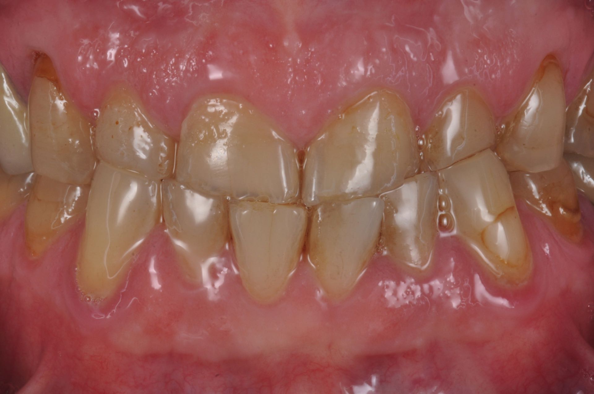
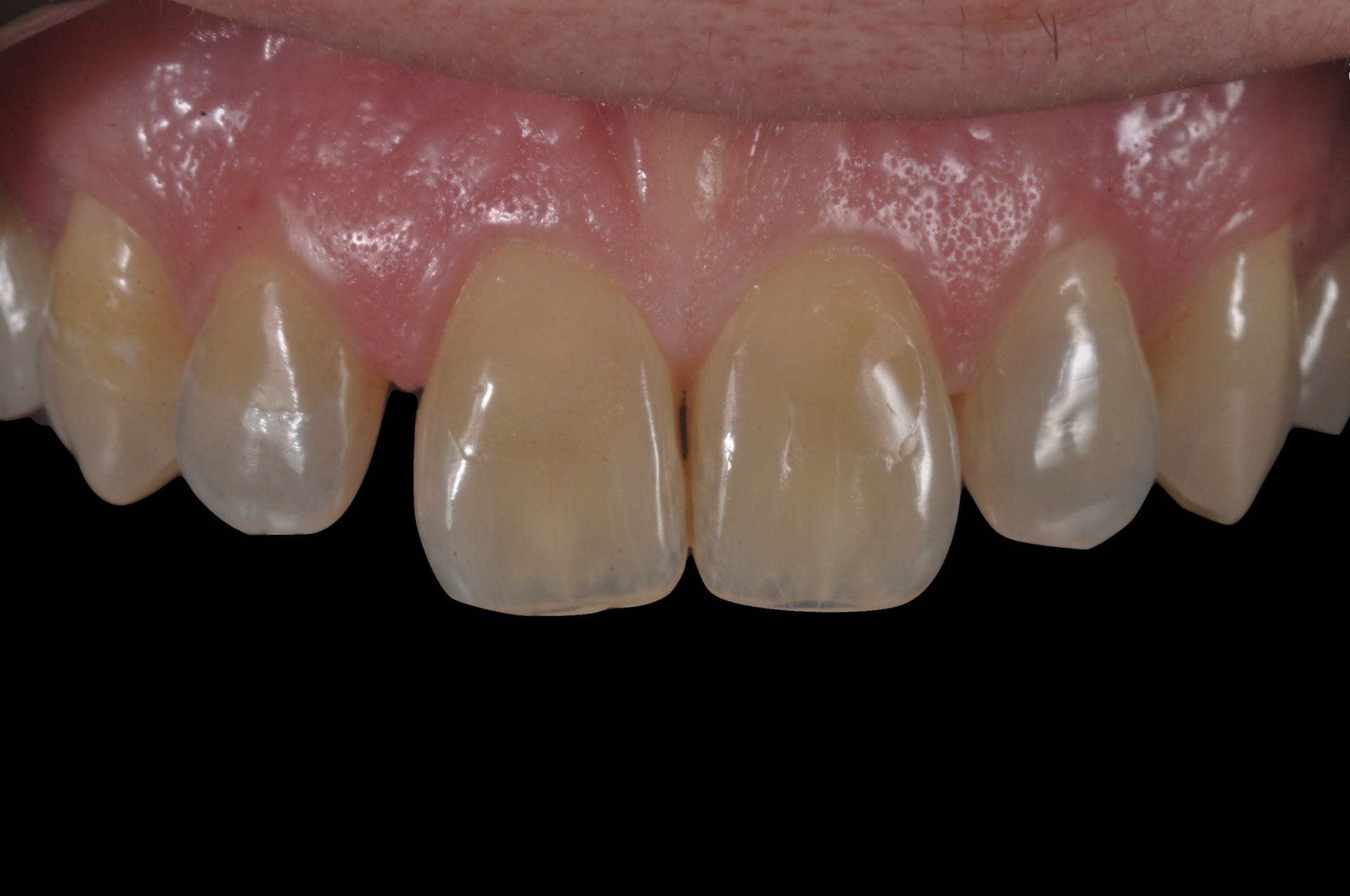
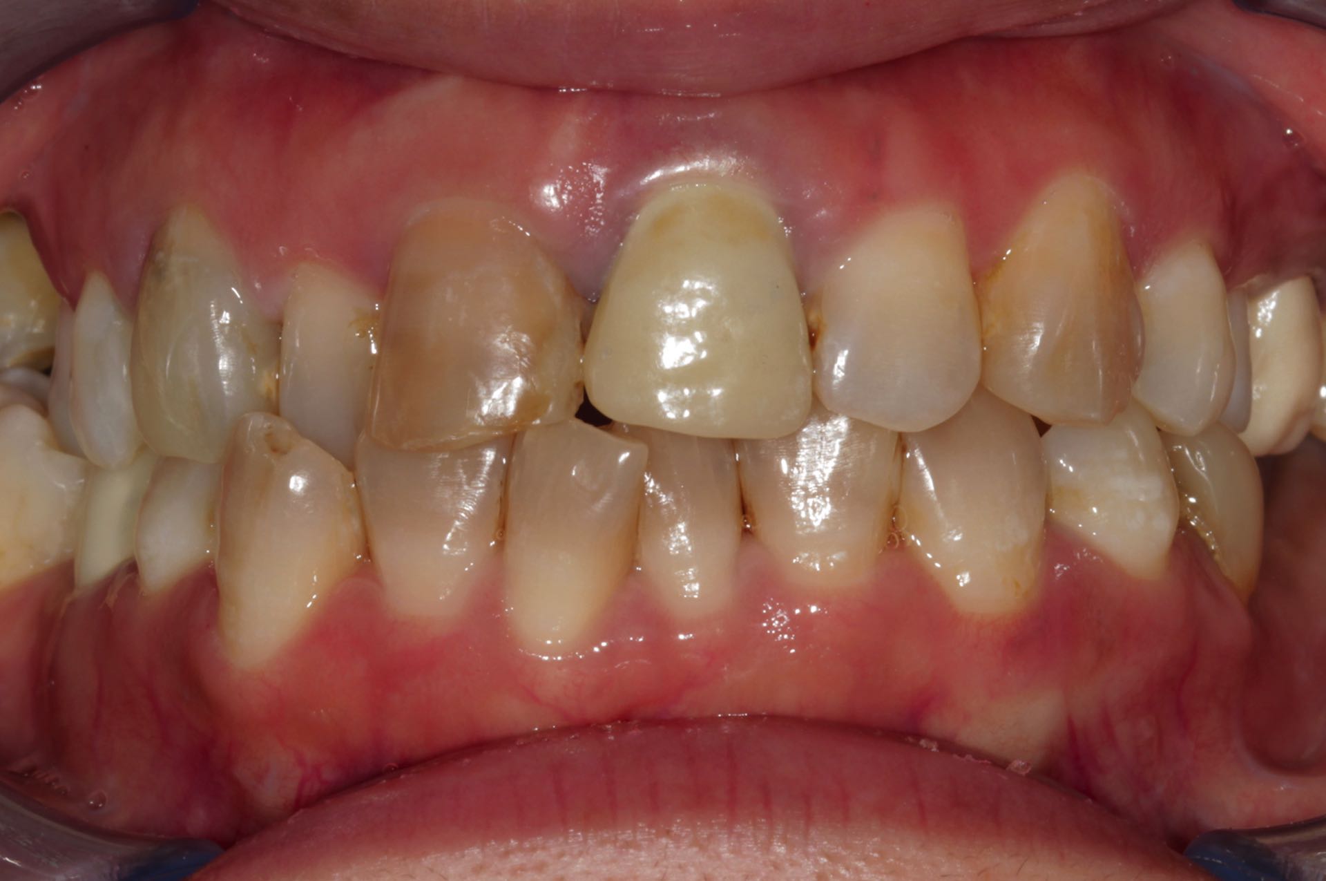
- Denti pigmentati: casi in cui i denti presentano delle discromie che non possono essere rimosse con un classico sbiancamento, quindi in caso di denti gialli o macchiati;
- Denti mal posizionati: i denti storti o non allineati che possono essere corretti senza ricorrere ad apparecchi ortodontici;
- Diastemi (denti separati): applicando delle faccette di superficie superiore al dente originale è possibile correggere lo spazio eccessivo tra i denti;
- Denti consumati e usurati.
- Denti morfologicamente non estetici: è possibile intervenire sulla lunghezza del dente o ricostruire i denti scheggiati o i denti rotti;
- Alterazioni dello smalto: casi di amelogenesi imperfetta;
Come si applicano
le faccette Dentali?
Durante la prima visita un dentista ADC visiona il singolo caso svolgendo un’analisi funzionale ed estetica molto approfondita. Successivamente, vengono prese le impronte tramite un innovativo scanner 3D assolutamente non invasivo (al contrario delle impronte con la pasta che risultano estremamente sgradevole per il paziente) e vengono fatte delle foto al viso del paziente sotto diverse prospettive.
Quindi, a seguito di uno studio delle morfologia facciale sulle simmetrie e le proporzioni del volto e di un’analisi dentaria dei tessuti molli e dei denti, viene elaborato un modello del nuovo sorriso grazie alla tecnica chiamata Digital Smile Design®. Prima di procedere con il trattamento al paziente, viene presentato un “mock-up” che gli permette di visualizzare concretamente in anticipo il risultato finale.
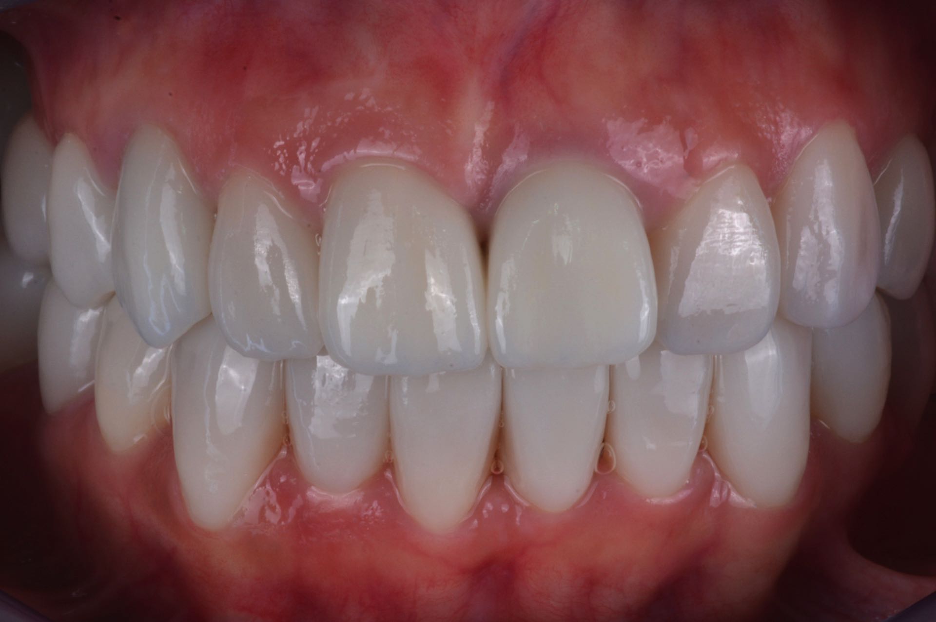
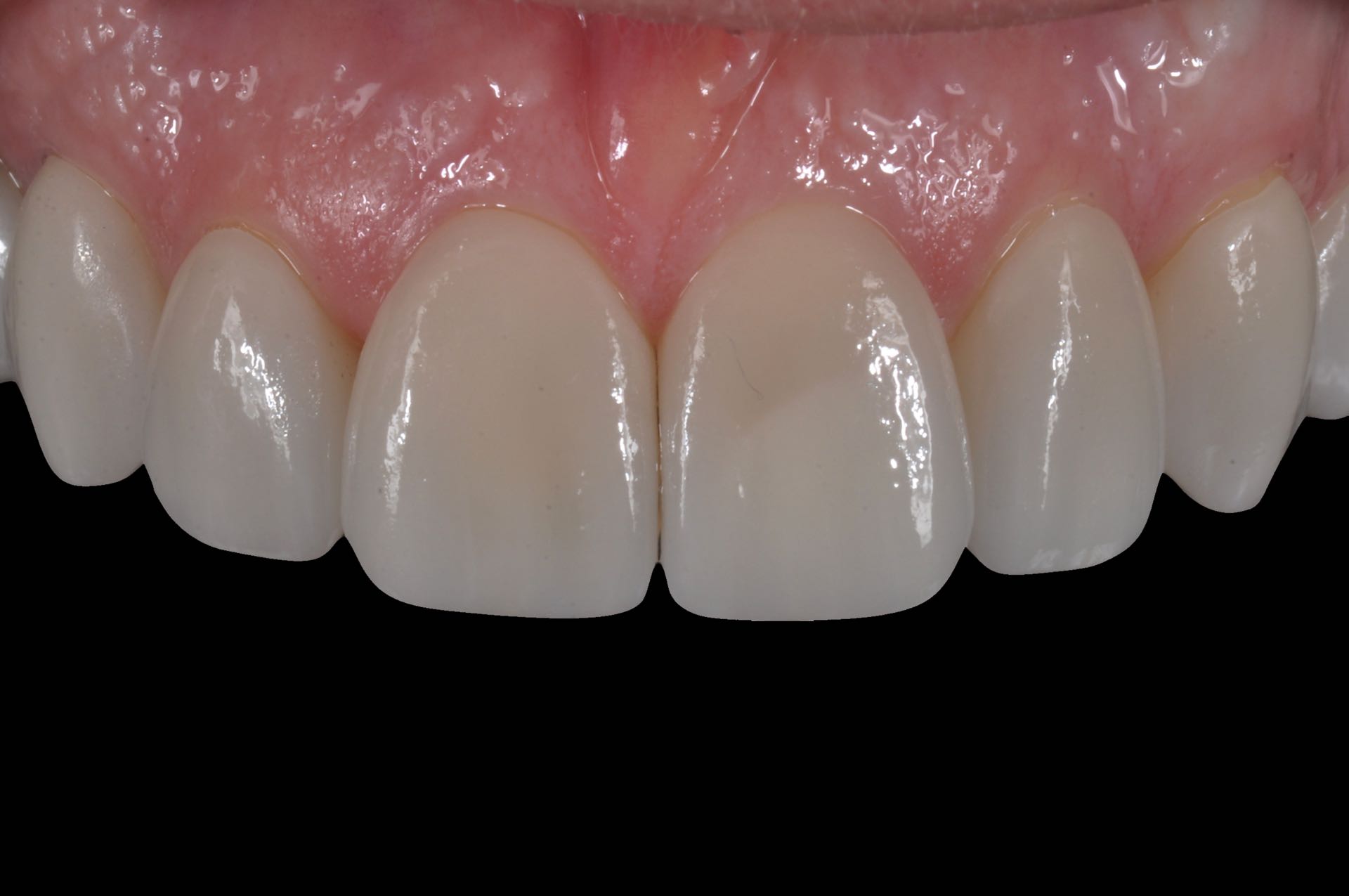
Infine, se il paziente è soddisfatto, le faccette vengono create direttamente dai nostri specialisti all’interno dei laboratori di ADC grazie a tecnologie all’avanguardia. In questo modo, riducono i tempi di attesa e le possibilità di errore. Il dente, se necessario, viene poi limato prima dell’applicazione della faccetta tramite un apposito cemento adesivo studiato per resistere molti anni.
I nostri casi di riabilitazione estetica con Faccette
Approfondimenti
Faccette Dentali
Cosa dicono di noi
Scopri le Recensioni dei Nostri Pazienti.
Domande Utili
Cosa sono le faccette dentali e a cosa servono?
Le faccette dentali sono sottili lamine in ceramica che migliorano colore, forma e posizione dei denti, correggendo macchie, denti storti, spazi tra i denti e usura.
Esistono testimonianze di pazienti che hanno già fatto le faccette dentali?
Sì, le testimonianze sulle faccette dentali di chi ha già eseguito il trattamento raccontano esperienze positive, con risultati naturali, un sorriso migliorato e una maggiore sicurezza nella vita quotidiana già dai primi giorni.
Dove fare le faccette dentali a Milano?
Le faccette dentali a Milano possono essere realizzate presso centri specializzati come ADC, dove il trattamento è progettato su misura con Digital Smile Design e laboratorio interno.
Le faccette dentali sono dannose per il mio sorriso?
Le faccette dentali di ADC, essendo “prepless” sono progettate per richiedere la minima o nessuna rimozione del tessuto dentale naturale. Questo significa che vengono applicate senza la necessità di limare o preparare il dente in modo significativo.
Questo approccio “prepless” mira a preservare al massimo la struttura dentale esistente, riducendo al minimo il danno biologico.
È possibile applicare faccette dentali senza limare il dente?
In molti casi sì: esistono faccette dentali senza limare il dente o con una preparazione minima, limitata a pochi decimi di millimetro, senza dolore né interventi invasivi.
Il trattamento con faccette dentali è doloroso?
L’ablazione del tartaro di solito non è dolorosa. Tuttavia, potresti avvertire una certa sensibilità o disagio durante il processo, ma è generalmente tollerabile.
Durante il trattamento, l’igienista dentale utilizza strumenti speciali per rimuovere il tartaro dalle superfici dei denti. Questi strumenti possono emettere suoni e vibrazioni che alcuni pazienti possono trovare fastidiosi. Inoltre, se hai gengive sensibili o sanguinanti a causa di una gengivite o parodontite preesistente, potresti provare un certo disagio.
Per minimizzare l’eventuale disagio, i professionisti odontoiatrici spesso utilizzano anestesia locale o offrono alternative per il controllo del dolore, se necessario.
Quanto costano le faccette dentali?
Il costo delle faccette dentali è altamente personalizzato e varia da persona a persona a seconda di diversi fattori, ragion per cui non è possibile stabilire un range di prezzo. Per ottenere un preventivo accurato è possibile consultare direttamente la nostra equipe di odontoiatria estetica. Puoi prenotare un appuntamento cliccando qui o chiamando un nostro operatore al numero 02863624.
Quando durano le faccette dentali?
Le faccette dentali prepless di ADC, grazie all’elevata qualità dei materiali scelti e alla competenza del Dr. Mario Imburgia, possono durare più di 20 anni. Il nostro centro vanta una percentuale di successo nelle riabilitazioni estetiche del 99,98%.
Un nuovo sorriso può restituirti fiducia e sicurezza!
L’odontoiatria estetica e le faccette dentali possono trasformare il tuo sorriso in soli due appuntamenti. Ogni restauro che eseguiamo è il frutto di uno studio approfondito sul paziente e delle sue proporzioni. Contattaci ora e fissa un appuntamento.