Skip to main content

I nostri casi con faccette

Le faccette dentali possono risolvere problematiche estetiche ma anche funzionali: Denti abrasi, pigmentati, malposizionati o spezzati. Osserva la nostra galleria di casi con faccette, ti riconosci in uno di questi sorrisi? Noi possiamo aiutarti.

Contattaci Ora

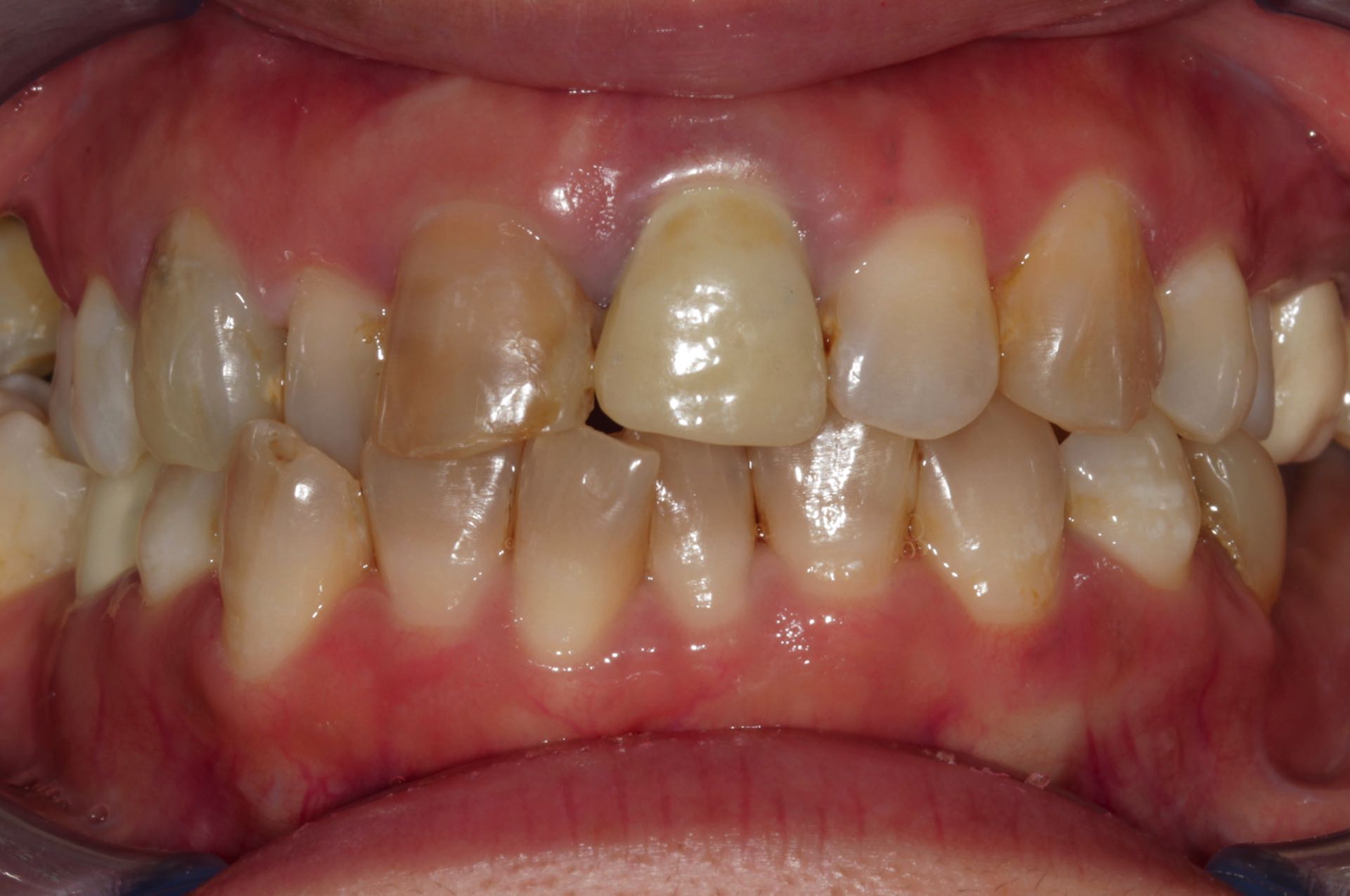
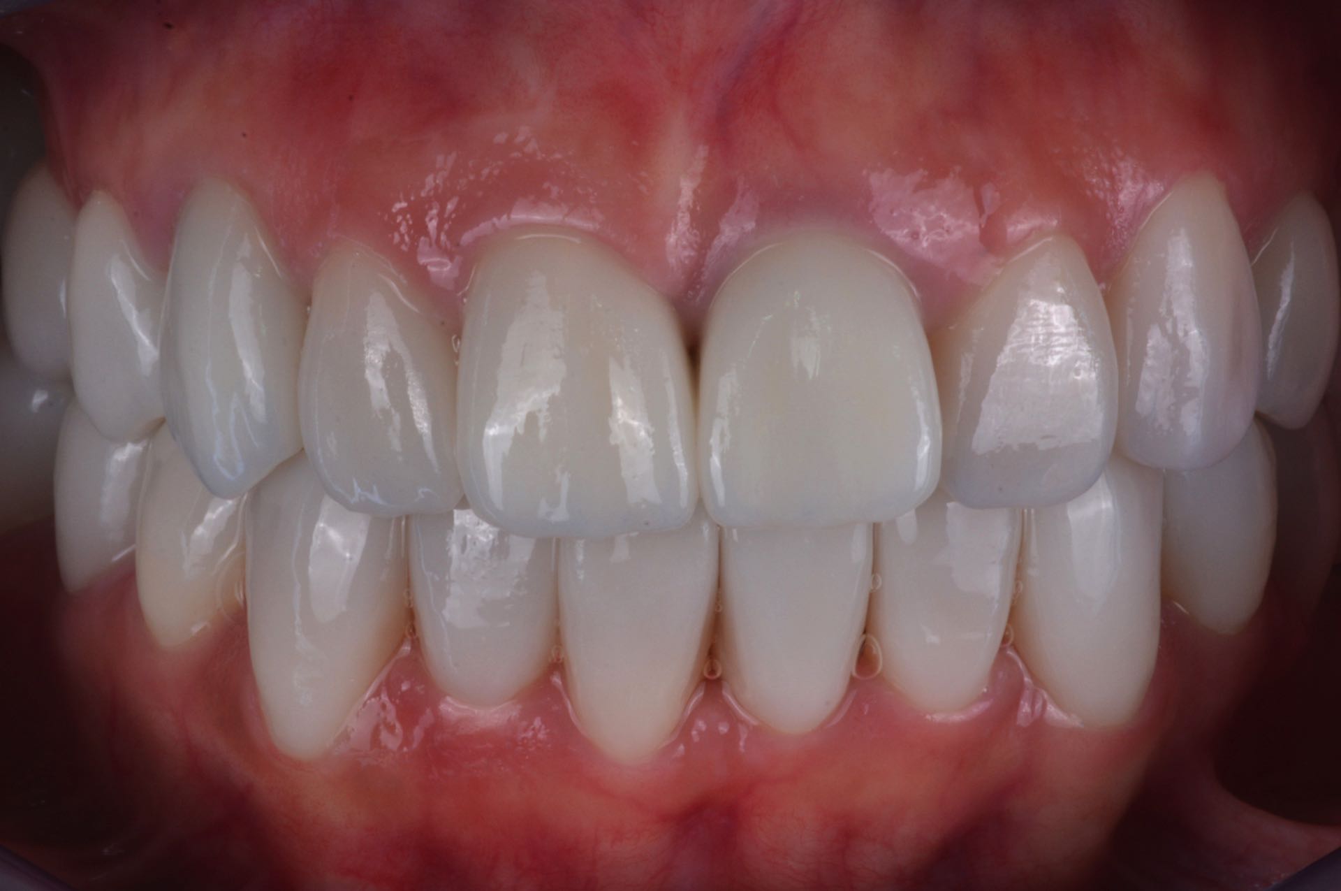
Denti scuri

Casi di denti pigmentati o scuri trattati con le nostre faccette dentali.

Correzione malocclusioni

Casi con denti non dritti e trattati con le faccette.

Chiusura spazi interdentali

Le faccette dentali possono essere utilizzare per chiudere spazi tra i denti e restituire una maggiore armonia al sorriso.

spazio tra i denti faccette dentali denti allineati con faccette dentali

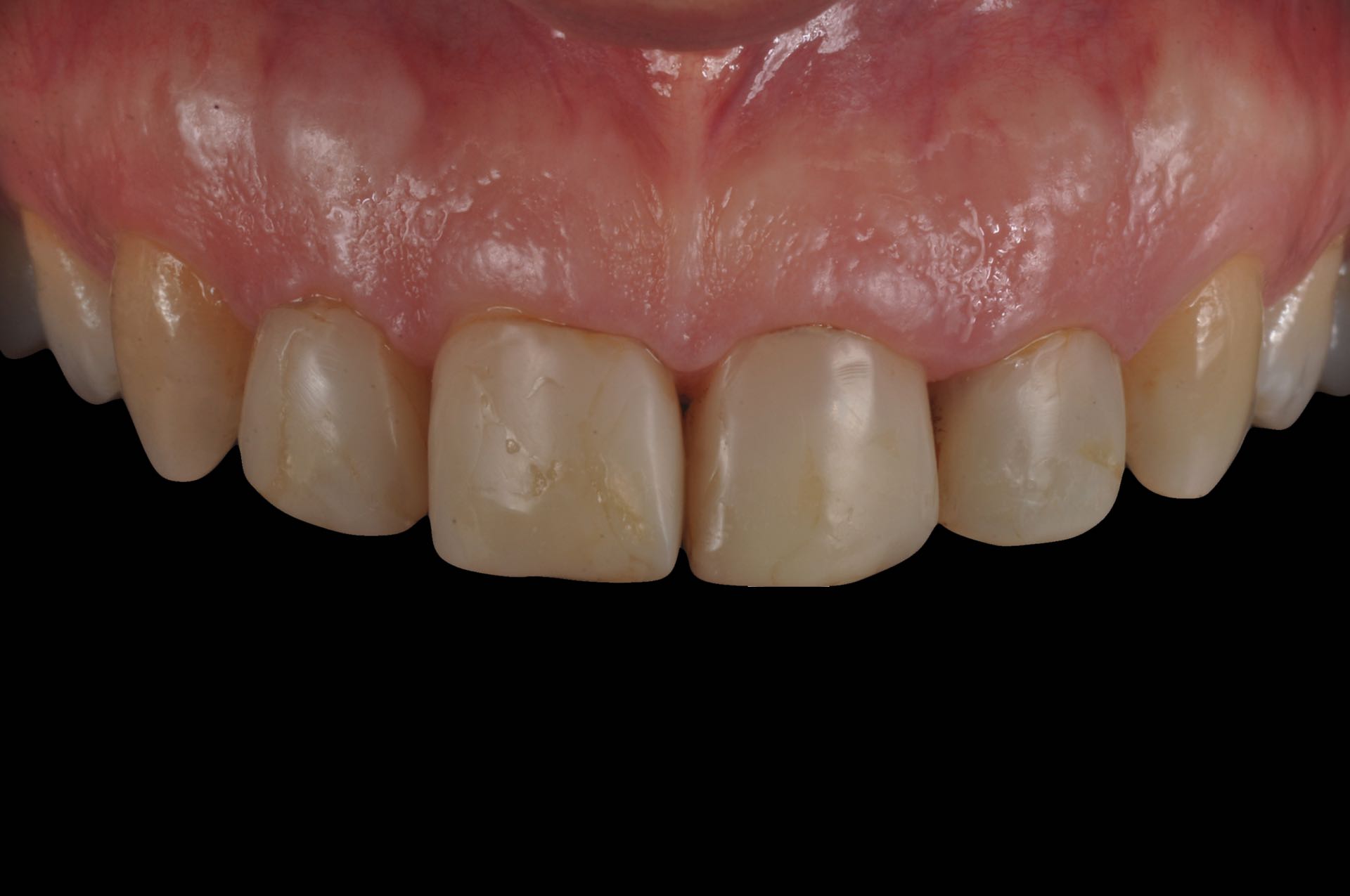
Ripristino smalto assottigliato

Casi di denti con smalto compromesso e trattati con le nostre faccette dentali.

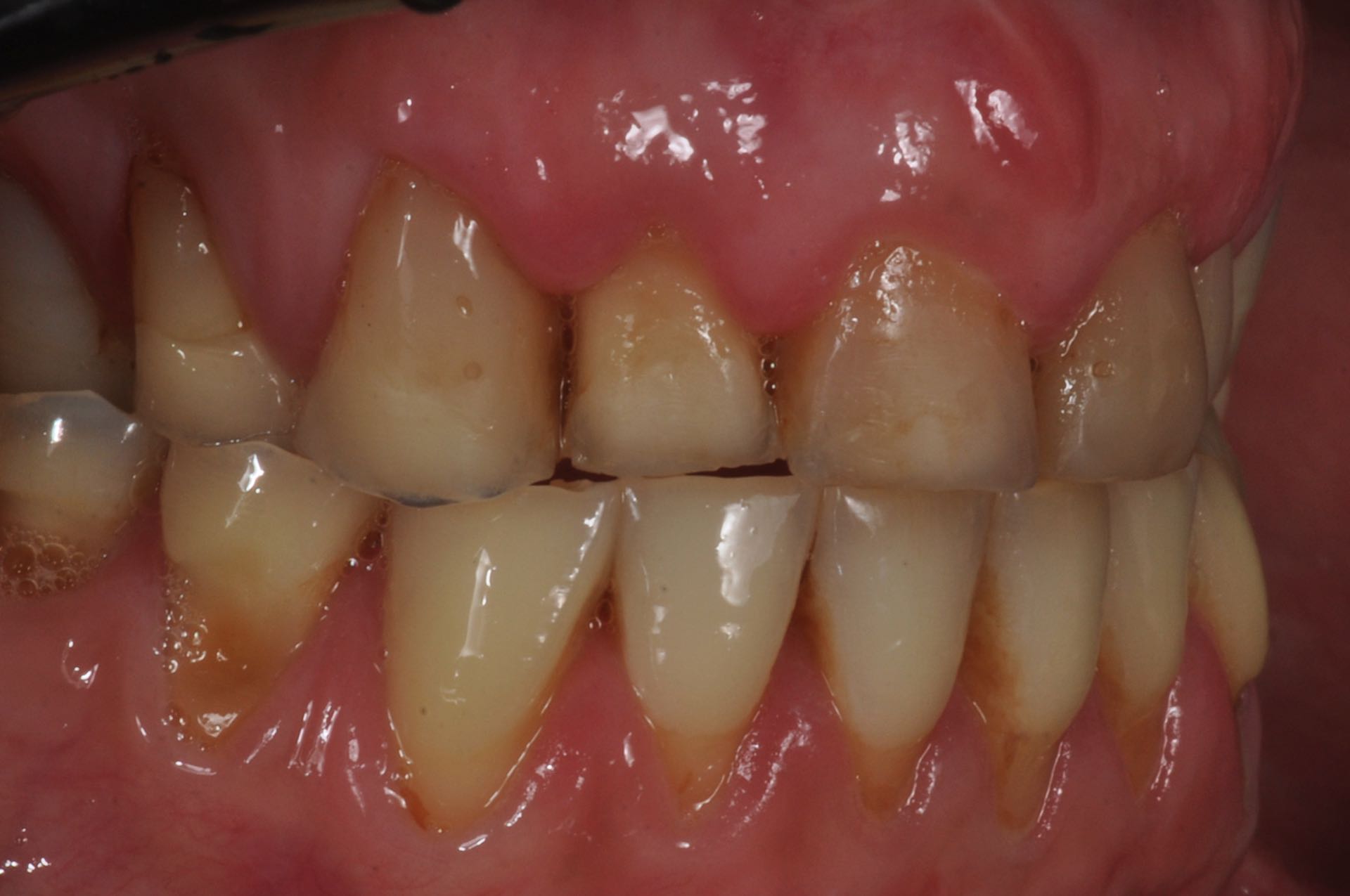
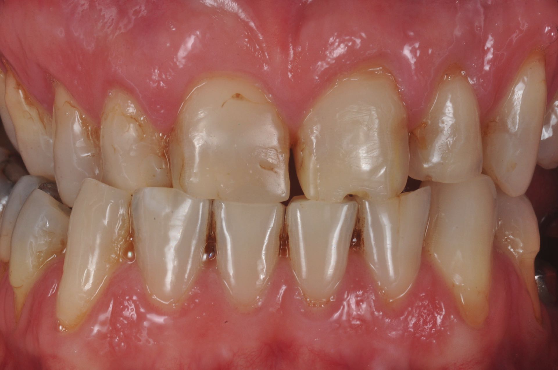
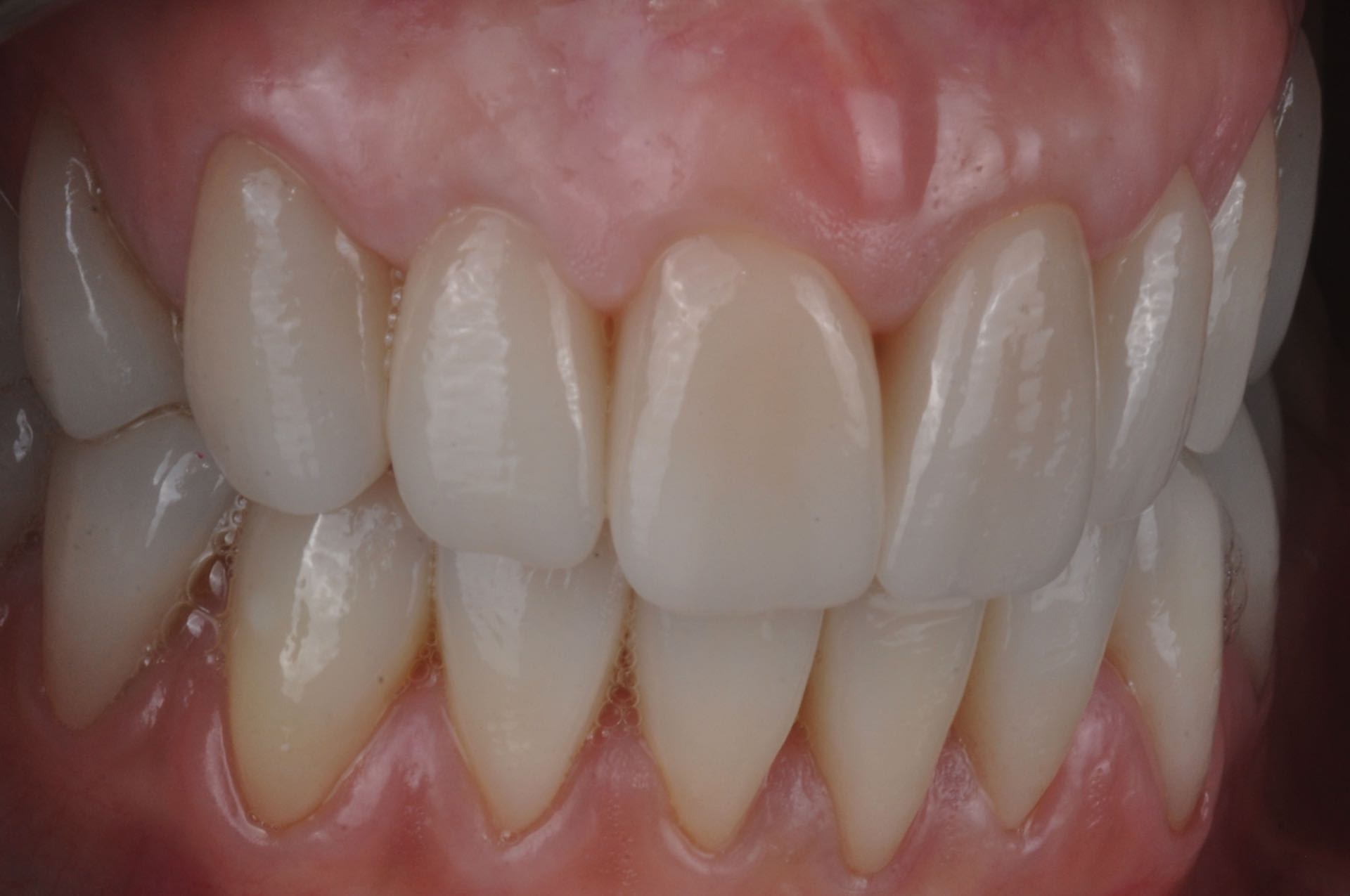
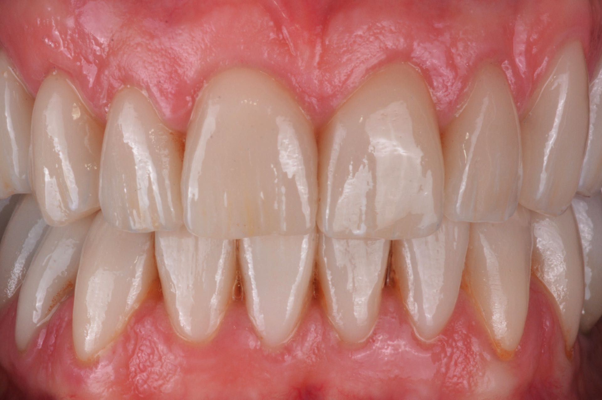
Denti abrasi

I denti abrasi o consumati possono essere rinforzati con le faccette per arrestare il processo di erosione.

Denti abrasi denti forti con faccette dentali

Correzione malposizioni

Le faccette sono un’ottima alternativa all’apparecchio.

Correzione gengive

Per correzione del gummy smile.

Le faccette dentali sono dannose per il mio sorriso?

Il trattamento con faccette dentali è doloroso?

Quanto costano le faccette dentali?

Il costo delle faccette dentali è altamente personalizzato e varia da persona a persona a seconda di diversi fattori, ragion per cui non è possibile stabilire un range di prezzo. Per ottenere un preventivo accurato è possibile consultare direttamente la nostra equipe di odontoiatria estetica. Puoi prenotare un appuntamento cliccando qui o chiamando un nostro operatore al numero 02863624.

Quando durano le faccette dentali?

Dentista a Milano

Ti piacciono i nostri casi con faccette?

Vorresti vedere come può cambiare il tuo sorriso con le faccette dentali? Ci bastano due appuntamenti. Prenota una visita con i nostri odontoiatri.

    I dati personali conferiti nel presente modulo verranno trattati nel rispetto di quanto indicato all'interno dell'informativa per il trattamento dei dati personali ai sensi del regolamento 679/2016 e del D.Lgs 101/2018.