Molti pazienti sognano di avere un sorriso perfetto, ma spesso devono risolvere problematiche come denti storti, irregolari o danneggiati. Mentre l’ortodonzia tradizionale richiede tempo e pazienza per correggere questi problemi, esiste una soluzione rapida ed efficace: le faccette dentali. Le faccette dentali, infatti, possano risolvere istantaneamente problemi ortodontici, offrendo un sorriso impeccabile senza la necessità di un trattamento ortodontico prolungato.
Come le faccette risolvono i problemi ortodontici?
Nonostante le faccette dentali non siano considerate un trattamento ortodontico tradizionale, possono essere utilizzate per risolvere alcuni problemi ortodontici minori. Ad esempio, se si hanno denti leggermente storti o affollati, le faccette dentali possono migliorare immediatamente l’aspetto senza la necessità di un apparecchio ortodontico.
Le faccette dentali funzionano coprendo la superficie dei denti con uno strato sottile di materiale composito o vetroceramica. Questo strato modella i denti in una posizione più desiderabile, ricreando un allineamento perfetto. Le faccette dentali possono anche correggere problemi di spaziatura tra i denti, creando un sorriso uniforme e armonioso.


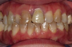
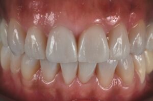
Esempio di paziente con malocclusioni, trattato con faccette dentali
Vantaggi delle faccette dentali per i denti storti:
Risultati immediati: A differenza dei trattamenti ortodontici tradizionali che richiedono mesi o anni, le faccette dentali offrono risultati immediati. In poche visite dal dentista, si può ottenere un sorriso trasformato e correggere i problemi ortodontici in modo rapido ed efficace.
Estetica superiore: Le faccette dentali sono realizzate con materiali resistenti di alta qualità che riproducono alla perfezione il colore e la lucentezza dei denti naturali. Questo consente di ottenere un risultato estetico superiore, creando un sorriso bello e naturale.
Minima invasività: L’applicazione delle faccette dentali in ADC non comporta un danno biologico e richiede una minima preparazione del dente, rendendo il processo minimamente invasivo.
Durata a lungo termine: Le faccette dentali sono estremamente resistenti e durevoli. Con una corretta cura e igiene orale, possono durare molti anni, offrendo un sorriso impeccabile nel tempo.
Consulta la nostra galleria di casi
Puoi consultare la galleria di casi trattati con faccette cliccando qui, e individuare il caso più vicino alla condizione del tuo sorriso.
Vorresti valutare un trattamento con faccette dentali? Contatta lo studio dentistico ADC Dental Center per avere maggiori informazioni e richiedi una visita di controllo.
Domande Utili
Le faccette dentali possono correggere i denti storti?
Sì. Le faccette dentali per i denti storti sono una soluzione rapida per migliorare l’allineamento quando il problema è lieve. Coprendo la superficie del dente, permettono di ottenere un sorriso più dritto senza dover affrontare lunghi trattamenti ortodontici.
Posso migliorare denti imperfetti senza apparecchio?
Assolutamente sì. Le faccette sono perfette per chi ha denti imperfetti (irregolari, consumati, rovinati) e desidera un cambiamento estetico immediato. In poche sedute si ottiene un sorriso uniforme e armonioso.
Come migliorare un sorriso con denti storti in poco tempo?
Per un sorriso con denti storti da correggere velocemente, le faccette dentali offrono risultati immediati. Il dentista applica sottili rivestimenti in ceramica o composito che ricreano un allineamento ideale già dopo pochissime visite.
Le faccette possono chiudere i denti spaziati?
Sì. Le faccette dentali sono un’ottima soluzione per denti spaziati, perché permettono di ridurre o eliminare gli spazi modificando forma e dimensione dei denti, ottenendo un sorriso più pieno e proporzionato.